欢迎访问辽阳市中心医院新城医院!
欢迎访问辽阳市中心医院新城医院!
详细内容
从门诊CT预警到上级医院手术台,一场与“血管炸弹”赛跑的生死速递在辽阳上演!面对腹主动脉瘤的潘先生九死一生的危局,辽阳市中心医院新城医院启动“急救预案”:影像中心火眼锁定风险、管理团队秒级响应、护理团队全程护航,多环扣成生命链,为转诊赢得决定性时机。


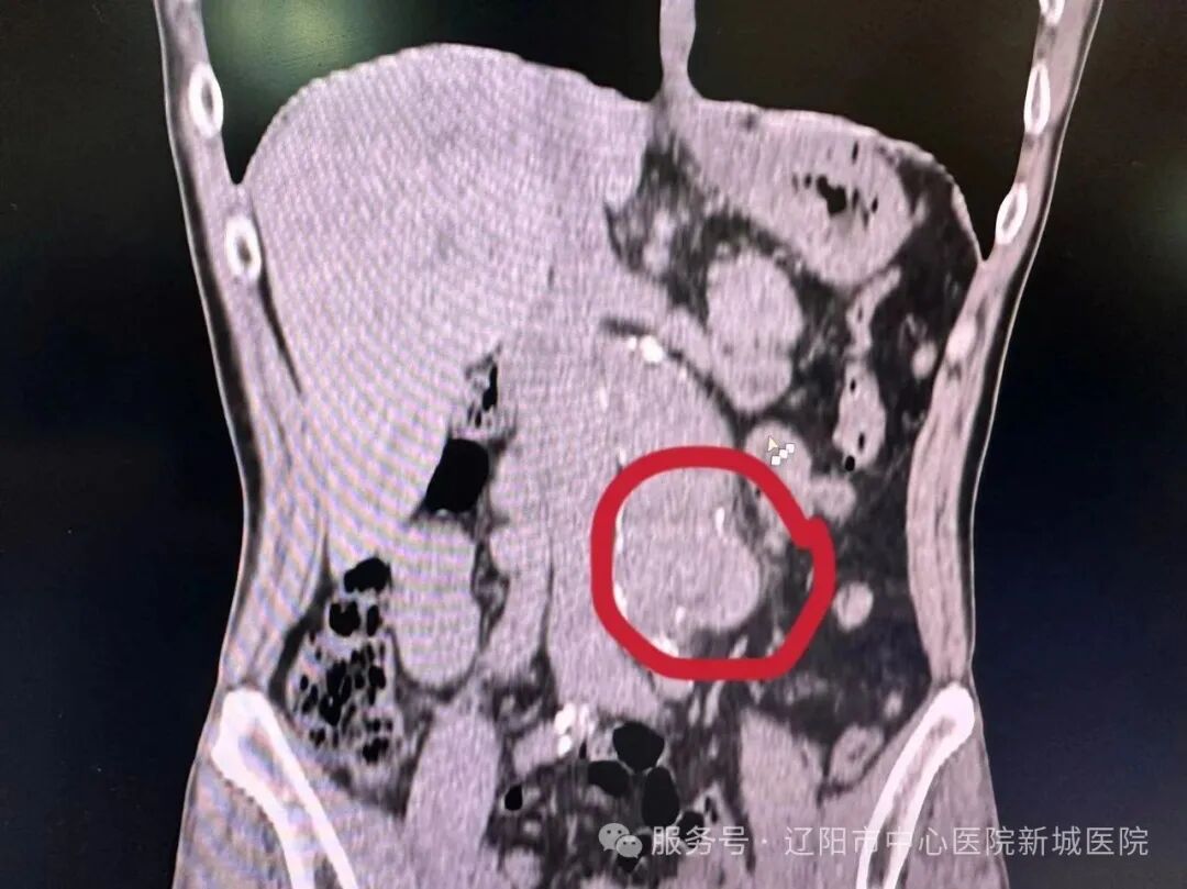
近日,一次常规门诊CT检查,在潘先生身上照出惊人一幕:腹主动脉瘤,腹主动脉壁上赫然膨出一个“定时炸弹”!这颗随时可能破裂的“炸弹”,让平静的门诊瞬间涌起紧张暗流。
腹主动脉瘤素来凶险,瘤体一旦破裂,九成患者抢救不及,生命将如风中残烛,片刻即灭。发现腹主动脉瘤必须立即转往具备血管外科手术能力的上级医院,生命通道刻不容缓。

新城医院门诊各部门迅速成为连接各环节的“生命枢纽”,影像中心主任刘芳发出紧急预警,副院长吴艳果断启动应急流程,门诊护士长安雪娇第一时间电话联系潘先生和家属,与导诊护士推轮椅护送潘先生到外科诊室,诊室唐瑞霞医生为家属讲解该疾病的的风险及危险程度,平复患者紧张情绪,静待上级医院救护车实现安全转诊。
家属紧急联系了沈阳医院,成功为潘先生安排了手术,拆除了“炸弹”,现在潘先生已经平安出院。
从诊断腹主动脉瘤到患者成功转院,生动体现了门诊急救流程的高效:早期识别、风险评估、多科协作、安全转运,各环节“无缝衔接”,为患者架起了坚实的生命桥梁。
这次门诊惊雷的生命速递,不仅是一个化险为夷的故事,更映照出新城医院医疗团队于无声处守护生命的高度警觉与专业协作能力。正是这种对危险信号的敏锐捕捉与高效处置机制,为无数“潘先生”们悄然撑起了无形的生命保护伞,创造着不平凡的生命奇迹。
医疗科普
影像专业医疗专家提醒公众:腹主动脉瘤早期症状隐匿,中老年尤其患有高血压、动脉硬化等疾病者,定期体检至关重要,门诊CT等检查往往是发现此类“无声杀手”的重要契机。