欢迎访问辽阳市中心医院新城医院!
欢迎访问辽阳市中心医院新城医院!
详细内容
近日,辽阳市中心医院新城医院心血管内科团队,凭借精湛技术和丰富经验成功为一位反复心绞痛发作患者实施了复杂冠状动脉介入治疗术。不仅彻底解除了患者的病痛,更以其术后将“红包”转为住院费的暖心之举,深刻诠释了医者仁心,赢得了患者及家属由衷的赞誉。

2个月前,63岁的王女士无明显诱因反复出现胸骨后疼痛,伴双肩发紧、四肢无力、心悸出汗,含服“速效救心丸”后可缓解,被诊断为冠心病,经对症治疗好转。4天前,王女士症状加重,出现恶心呕吐等症状,含服药物不缓解,为求系统诊治来我院就诊。
入院后,心血管内科主治医生王丽丽详细询问病史,快速完善相关检查;主任丛占春带领团队全面评估王女士病情,为家属细致讲解冠脉介入手术的风险性,家属非常信任丛主任,信任陆总的专家团队,于是决定行冠状动脉介入手术治疗。
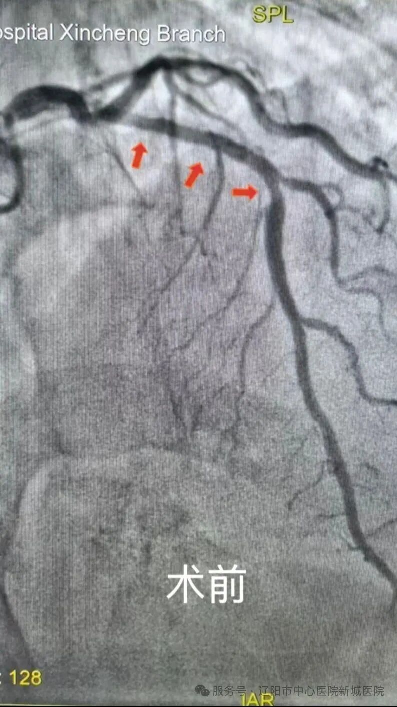
术中,通过血管内超声精准确定病变性质:王女士的左主干开口30%狭窄,回旋支近段20%狭窄,前降支近中段钙化病变最重部位达180°,右冠脉中段50-60%狭窄,病情十分复杂。

在血管内超声的精准引导下,丛主任带领团队先后使用切割球囊、高压球囊对前降支近中段钙化病变进行充分预处理,随后精准植入了药物洗脱支架,手术过程顺利。

术后回病房,王女士的胸痛症状完全消失,心中满是喜悦;随后得知的一个消息,更让她心底涌起一股暖流:她执意送出的“红包”,已被主任和医生存入了她的住院账户。这份超越金钱的关怀,让她看到了白衣之下最可贵的仁心。于是,两面锦旗被送至科室,这既是对技术祛除病痛的感谢,更是对这份职业操守与人性温暖的最高礼赞。
